Las hemorragias cerebrales constituyen una emergencia médica que requiere atención inmediata debido a su potencial gravedad. Saber cuáles son los cuatro tipos de hemorragia cerebral permite entender mejor su clasificación, causas, manifestaciones clínicas y tratamientos. Cada uno de estos tipos representa una forma distinta de sangrado en el cerebro, con implicaciones clínicas particulares que pueden marcar la diferencia en el pronóstico del paciente.
¿Qué es una hemorragia cerebral?
Una hemorragia cerebral es la acumulación de sangre en el cerebro o sus alrededores como consecuencia de la rotura de un vaso sanguíneo. Este evento puede comprimir el tejido cerebral, interrumpir la oxigenación y dañar las funciones neurológicas. Entre los factores desencadenantes más comunes se encuentran la hipertensión, los traumatismos craneoencefálicos, las malformaciones vasculares y los trastornos de coagulación.
Cuáles son los cuatro tipos de hemorragia cerebral

Responder a la pregunta cuáles son los cuatro tipos de hemorragia cerebral implica explorar cada una de estas variantes: hemorragia intracerebral, hemorragia subaracnoidea, hemorragia subdural y hemorragia epidural. A continuación, se describen en detalle.
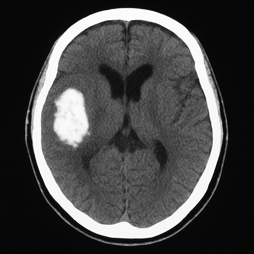
Hemorragia intracerebral (intraparenquimatosa)
La hemorragia intracerebral, también llamada intraparenquimatosa, ocurre cuando se rompe un vaso sanguíneo dentro del tejido cerebral propiamente dicho. Es el tipo más frecuente entre las hemorragias cerebrales espontáneas.
Causas principales:
-
Hipertensión arterial crónica.
-
Traumatismos.
-
Malformaciones arteriovenosas.
-
Tumores vasculares.
-
Consumo de anticoagulantes.
Síntomas:
-
Déficit neurológico súbito (hemiparesia, afasia, disartria).
-
Pérdida de conciencia.
-
Dolor de cabeza intenso.
-
Náuseas y vómitos.
-
Convulsiones.
Diagnóstico y tratamiento:
-
Se diagnostica mediante tomografía computarizada (TAC) o resonancia magnética (RM).
-
El tratamiento puede ser médico (control de la presión intracraneal y la presión arterial) o quirúrgico en casos severos.
Hemorragia subaracnoidea
Este tipo de hemorragia ocurre cuando la sangre se acumula en el espacio subaracnoideo, que es la región entre el cerebro y la membrana aracnoide. Es conocida por su presentación súbita y dramática.
Causas más comunes:
-
Rotura de aneurismas cerebrales.
-
Malformaciones arteriovenosas.
-
Traumatismos.
Signos característicos:
-
Cefalea súbita e intensa, conocida como “el peor dolor de cabeza de mi vida”.
-
Rigidez de nuca.
-
Fotofobia.
-
Náuseas y vómitos.
-
Pérdida de conciencia.
Diagnóstico:
-
TAC urgente y punción lumbar si es necesario.
-
Angiografía cerebral para localizar el aneurisma.
Tratamiento:
-
Clipado quirúrgico o embolización del aneurisma.
-
Control intensivo en UCI con manejo del vasoespasmo y control de presión intracraneal.
Hemorragia subdural
La hemorragia subdural se produce cuando la sangre se acumula entre la duramadre y la aracnoides. Se asocia frecuentemente a traumatismos craneoencefálicos, especialmente en personas mayores o pacientes con atrofia cerebral.
Etiología:
-
Traumatismos leves repetitivos.
-
Caídas en ancianos.
-
Anticoagulación prolongada.
Presentación clínica:
-
Comienzo lento y progresivo.
-
Confusión, alteración del estado de conciencia.
-
Hemiparesia o síntomas focales.
-
Cambios de personalidad o del comportamiento.
Formas:
-
Aguda: síntomas en las primeras 72 horas.
-
Subaguda: entre 3 y 21 días.
-
Crónica: más allá de las tres semanas.
Diagnóstico:
-
TAC craneal con imagen de semiluna hiperdensa.
Tratamiento:
-
En casos leves, vigilancia.
-
En casos severos, drenaje quirúrgico mediante craneotomía o perforación.
Hemorragia epidural
La hemorragia epidural ocurre entre la duramadre y el cráneo, generalmente causada por un traumatismo que rompe la arteria meníngea media.
Causa típica:
-
Traumatismo craneal con fractura del hueso temporal.
Síntomas:
-
Pérdida de conciencia seguida de un período de lucidez (“intervalo lúcido”).
-
Luego deterioro neurológico rápido.
-
Pupila dilatada del lado de la lesión.
-
Hemiparesia contralateral.
Diagnóstico:
-
TAC con imagen biconvexa (forma de lente) hiperdensa.
Tratamiento:
-
Urgente: evacuación quirúrgica del hematoma.
-
Control de signos vitales y medidas para disminuir la presión intracraneal.
Diferencias entre los tipos de hemorragia cerebral
Aunque todos estos tipos forman parte de la clasificación general de cuáles son los cuatro tipos de hemorragia cerebral, cada uno difiere en:
-
Localización anatómica del sangrado.
-
Velocidad de instauración de los síntomas.
-
Mecanismo causal.
-
Riesgos asociados y pronóstico.
-
Tipo de intervención médica necesaria.
Estas diferencias son cruciales para el abordaje clínico, ya que el tratamiento depende en gran medida del tipo de hemorragia cerebral.
Pronóstico y rehabilitación
El pronóstico de las hemorragias cerebrales varía según el tipo, la extensión del sangrado, la rapidez del diagnóstico y la atención médica recibida. Las hemorragias intracerebrales y subaracnoideas tienen una tasa de mortalidad más alta. La rehabilitación puede ser prolongada e incluir fisioterapia, terapia del habla, ocupacional y apoyo psicológico.
Prevención de hemorragias cerebrales

La mejor forma de evitar este tipo de eventos es actuar sobre los factores de riesgo:
-
Control de la hipertensión arterial.
-
Evitar el abuso de alcohol y drogas.
-
No fumar.
-
Control adecuado de la diabetes y el colesterol.
-
Uso prudente de anticoagulantes.
-
Detección precoz de aneurismas.
Conclusión
Comprender cuáles son los cuatro tipos de hemorragia cerebral —intracerebral, subaracnoidea, subdural y epidural— es fundamental para reconocer rápidamente sus síntomas, actuar con celeridad y minimizar los daños neurológicos. Cada una representa un desafío distinto tanto en diagnóstico como en tratamiento. Estar informado puede marcar la diferencia entre la vida y la muerte, y entre una recuperación completa o secuelas permanentes.
Se precisar de informações sobre o NeuroAiD II, pode preencher este formulário de contacto.
"*" indicates required fields