
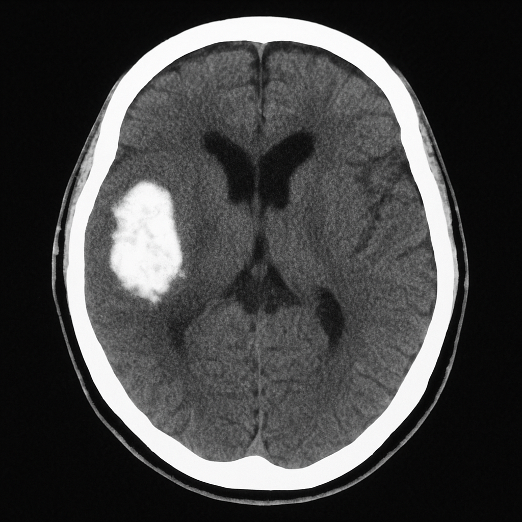
Diferencia entre hipoperfusión cerebral e isquemia
Diferencia entre hipoperfusión cerebral e isquemia
Read More
Consumo de grasas saturadas y ACV: lo que debes saber
Consumo de grasas saturadas y ACV: lo que debes saber
Read More
Alimentos ultraprocesados y riesgo de ACV: una relación peligrosa
Alimentos ultraprocesados y riesgo de ACV: una relación peligrosa
Read More
Azúcar y el ACV: una relación que no se debe ignorar
Azúcar y el ACV: una relación que no se debe ignorar
Read More
Sal y el accidente cerebrovascular: relación, riesgos y prevención
Sal y el accidente cerebrovascular: relación, riesgos y prevención
Read More
Trombectomía mecánica ACV