Nos últimos anos, o acidente vascular cerebral (AVC) tornou-se uma das principais causas de incapacidade e morte no mundo. Mas por que ocorre um AVC? Essa é uma pergunta que muitas pessoas se fazem, especialmente quando ele surge de forma repentina e sem sintomas prévios evidentes.
O que é um AVC?

Tipos de AVC
-
Isquêmico: causado por obstrução em uma artéria.
-
Hemorrágico: provocado pela ruptura de um vaso sanguíneo.
-
Ataque isquêmico transitório (AIT): “mini AVC” com sintomas temporários.
Em todos os casos, compreender por que ocorre um AVC é fundamental para poder agir a tempo.
Fatores de risco mais comuns
Compreender por que ocorre um AVC implica analisar detalhadamente os fatores de risco que influenciam o seu aparecimento. Muitos deles estão relacionados ao estilo de vida, enquanto outros têm um componente genético ou médico que nem sempre pode ser totalmente controlado. No entanto, conhecê-los permite antecipar-se e adotar medidas preventivas.
Um dos fatores mais determinantes é a hipertensão arterial. Essa condição, muitas vezes silenciosa, enfraquece os vasos sanguíneos e aumenta significativamente a probabilidade de ocorrer uma obstrução ou uma ruptura em alguma artéria cerebral. Por isso, se você se pergunta por que ocorre um AVC, monitorar regularmente a pressão arterial deve ser uma das suas prioridades.
Outro fator chave é a diabetes mellitus, uma doença crônica que afeta o metabolismo da glicose no sangue. A hiperglicemia sustentada danifica gradualmente os vasos sanguíneos, o que facilita o aparecimento de coágulos e outras complicações cardiovasculares. Em muitos casos, pessoas que não mantêm um bom controle glicêmico são mais propensas a sofrer um acidente vascular cerebral. Portanto, se você deseja preveni-lo, compreender por que ocorre um AVC é uma excelente forma de começar a cuidar da sua saúde metabólica.
O colesterol elevado também figura na lista de principais responsáveis. As lipoproteínas de baixa densidade (LDL), conhecidas como colesterol ruim, podem se acumular nas paredes arteriais formando placas de ateroma. Essas placas podem crescer ao longo do tempo e acabar bloqueando completamente o fluxo sanguíneo para o cérebro. Além disso, podem se desprender e formar coágulos que causem um AVC isquêmico. Se você se pergunta por que ocorre um AVC sem sintomas prévios evidentes, é possível que o colesterol elevado tenha atuado silenciosamente por anos.
O tabagismo e o consumo excessivo de álcool também aumentam o risco. Fumar reduz a quantidade de oxigênio que chega ao cérebro e favorece a formação de coágulos, enquanto o álcool em grandes quantidades afeta a pressão arterial, o ritmo cardíaco e a saúde geral do sistema vascular. Ambos os hábitos estão estreitamente ligados às doenças cardiovasculares, portanto abandoná-los é um passo fundamental se você já entende por que ocorre um AVC e deseja reduzir as chances de sofrer um.
Outro ponto que não deve ser ignorado é o sedentarismo, muitas vezes acompanhado de obesidade. A falta de atividade física contribui para o acúmulo de gordura corporal, o comprometimento do sistema cardiovascular e o aumento de outros fatores como a hipertensão e o colesterol. Portanto, se você não mantém uma rotina ativa e se pergunta por que ocorre um AVC, provavelmente a resposta esteja no seu estilo de vida.
Também existem fatores que não dependem diretamente do paciente, como as arritmias cardíacas, especialmente a fibrilação atrial, que aumentam consideravelmente o risco de formação de coágulos no coração, os quais podem posteriormente se deslocar para o cérebro. Nesses casos, o acompanhamento médico e os tratamentos anticoagulantes desempenham um papel fundamental.
Por fim, não se pode ignorar o papel do estresse crônico e da saúde mental. Embora tradicionalmente não fossem incluídos como fatores de risco diretos, estudos recentes demonstram que níveis elevados de cortisol e uma vida emocional instável podem ter um impacto significativo na saúde cardiovascular. Se você já se perguntou por que ocorre um AVC mesmo levando uma vida aparentemente saudável, o estresse pode ser a peça do quebra-cabeça que faltava.
Em resumo, existem muitos caminhos que levam ao mesmo destino, e conhecer todos esses fatores é fundamental para compreender por que ocorre um AVC. Identificá-los, controlá-los e agir a tempo pode fazer uma enorme diferença na sua saúde e qualidade de vida.
Por que ocorre um AVC em idade precoce?
Embora seja comumente associado a adultos mais velhos, há cada vez mais casos em pessoas jovens. As causas podem incluir:
-
Estresse crônico
-
Consumo de drogas
-
Anticoncepcionais orais combinados com tabagismo
-
Doenças autoimunes
Conhecer por que ocorre um AVC na juventude é fundamental para adotar medidas preventivas desde cedo.
Sinais de alerta
Reconhecer os sintomas pode fazer toda a diferença. Alguns sinais típicos são:
-
Perda súbita de força na face, no braço ou na perna
-
Dificuldade para falar ou compreender
-
Perda da visão
-
Dor de cabeça súbita e intensa
-
Tontura ou perda do equilíbrio
Se você sabe por que ocorre um AVC, também aprenderá a reconhecer quando um está acontecendo.
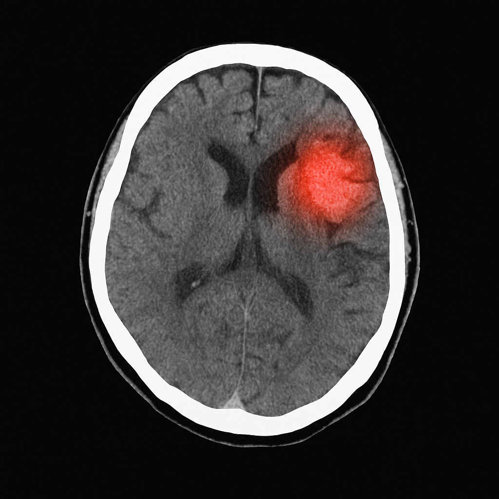
Diagnóstico e tratamento

Diante de qualquer suspeita, deve-se procurar atendimento de emergência imediatamente. Exames de imagem como a tomografia computadorizada ou a ressonância magnética ajudam a confirmar o diagnóstico. O tratamento dependerá do tipo de AVC, mas pode incluir:
-
Trombolíticos para dissolver coágulos
-
Cirurgia para controlar hemorragias
-
Reabilitação neurológica intensiva
Prevenção: a chave para evitar um AVC
Agora que você já sabe por que ocorre um AVC, é importante entender como evitá-lo. Algumas estratégias:
-
Controlar a pressão arterial e a glicemia
-
Manter uma dieta equilibrada, com baixo teor de sal e gorduras saturadas
-
Praticar atividade física regularmente
-
Evitar o consumo de tabaco e o uso excessivo de álcool
-
Realizar exames médicos periódicos
Após um AVC, muitas pessoas enfrentam sequelas físicas e emocionais. Compreender por que ocorre um AVC também implica conhecer seu impacto na qualidade de vida, na autonomia e na reintegração laboral e social.
Conclusão
Responder à pergunta por que ocorre um AVC não exige apenas compreender os aspectos médicos, mas também assumir um compromisso pessoal com a prevenção. Cada pequena mudança no estilo de vida pode fazer uma grande diferença. Se você ou alguém próximo apresenta fatores de risco, não hesite em procurar um especialista.
Se precisar de informações sobre o NeuroAiD II, pode preencher este formulário de contacto.
"*" indicates required fields