I was able to walk after 2 years of having stroke!

Rohan Mullin (USA)

“I was able to walk after 2 years of having stroke!”

To whom it may concern,

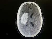
My name is Rohan Mullin. I suffered a stroke back in April 2013 and I have attached a photo that shows the size of my bleed. I lost the use of my left side which meant the use of my arm and ability to walk. I have been using Neuroaid since May 2nd and I’m already seeing improvement. In my affected side which I still have to put in more work to improve but I look forward to achieving my goals. The team at Sunshine and Footscray Hospital are keen to see how things go. Even my local GP is looking to prescribe Neuroaid to his 92 year old father whom has just suffered a stroke back in India.

I will forward future data through as my physio will be performing tests which shows improvement. But as you can see by the video, I have started walking which is a huge improvement as I have been in a wheelchair for the past 12 months.

 

Regards,
Rohan Mullins

rohanmullinbrainmriscan